La paciente es diestra, no tiene antecedentes de hipoxia neonatal, crisis epílépticas en la familia, traumatismos craneales o infecciones, su desempeño escolar fué brillante y su desarrollo psicomotriz temprano fué normal. Durante toda su vida no ha tenido alteraciones psiquiátricas evidentes.
El examen neurológico y general no mostró ningún dato relevante. El perfil de rutina de laboratorio fué normal.
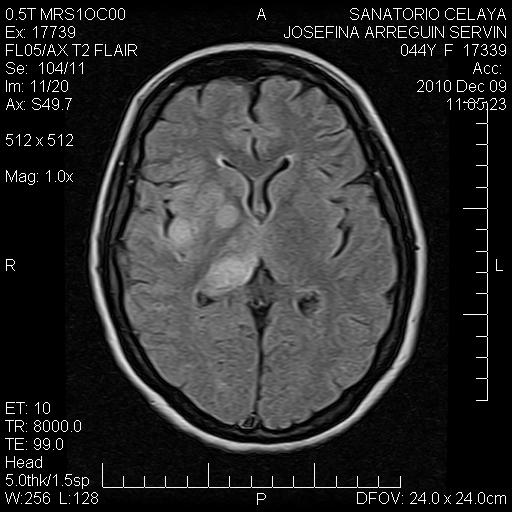
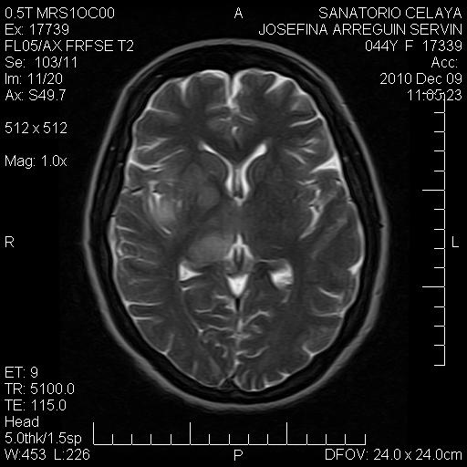
Las imágenes más representativas están aquí,
Se hace notar que la paciente no tiene ni síntomas ni signos de craneo-hipertensivo.
El archivo completo de imágenes lo subire en unos minutos para quien este interesado en revisar todas secuencias.
Gustavo
EL ARCHIVO COMPLETO DE IMAGENES ESTA -AQUI- , "pesa" solo 6 megas y se baja muyrápido
(la paciente me autorizo a subirlas)








No hay comentarios:
Publicar un comentario