En el clip de video de arriba una interesantísima conferencia de Henry Markram sobre la simulación del cerebro en una supercomputadora. El cerebro como un modelo holográfico del Universo que nos devuelve a las teorías clásicas del Dr. Karl Pribram y David Bhom. La plática es para el público general, llamando la atención la forma tanta sencilla y clara de explicar conceptos tan complejos.
Gustavo
EL BLOG DEL AMEINNN Y DE LAS NEUROCIENCIAS (MEXICO) El blog tiene como finalidad facilitar la comunicación y compartir las cosas que nos son comunes a los egresados del Instituto Nacional de Neurología y Neurocirugía Manuel Velasco Suárez, tambien tiene como finalidad incluir los comentarios y contribuciones de la comunidad neurocientifica de Mexico
Buscar este blog
sábado, 22 de enero de 2011
Trastorno Conductual del sueño REM
Hasta hace unos años, esta entidad clínica no era reconocida, era frecuentemente confundida con epilepsia del lóbulo temporal, sonmabulismo y otro tipo de parasomnias, el estudio de polisomnografía permitió determinar o correlacionar los eventos clínicos con los neurofisiológicos, ahora se sabe que el sueño REM en este trastorno se asocia a una falta de inhibición de la conducta motora, de tal manera que el paciente "vive" su sueño y suele despertarse cuando éste transcurre, el artículo de Boeve es una excelente revisión de los aspectos clínicos y neurofisiológicos, de este complejo sindromático que obedece a múltiples patologías, en particular la demencia con cuerpos de Lewy y la enfermedad de Parkinson en sus fases muy tempranas y subclínicas.
Me parece que el trastorno no es identificado con frecuencia y es confundido con las alteraciones que ya he comentado y debería ser sospechado en todo paciente, sobre todo de la población adulta, que "vive" sus sueños, es decir que se levanta, camina, rie, agrede y se despierta en pleno sueño sorprendiéndose a si mismo en medio de una actividad psicomotriz compleja. A diferencia de una crisis parcial compleja, el paciente recuerda perfectamente el sueño y no tiene los eventos postictales característicos de una crisis epiléptica.
La reseña del Dr Boeve esta aquí:
REM Sleep Behavior Disorder: Updated Review of the Core Features, the RBD-Neurodegenerative Disease Association, Evolving Concepts, Controversies, and Future Directions
Bradley F. Boeve, M.D.
Department of Neurology and Center for Sleep Medicine, Mayo Clinic, Rochester, Minnesota
E-mail: bboeve@mayo.edu.
Me parece que el trastorno no es identificado con frecuencia y es confundido con las alteraciones que ya he comentado y debería ser sospechado en todo paciente, sobre todo de la población adulta, que "vive" sus sueños, es decir que se levanta, camina, rie, agrede y se despierta en pleno sueño sorprendiéndose a si mismo en medio de una actividad psicomotriz compleja. A diferencia de una crisis parcial compleja, el paciente recuerda perfectamente el sueño y no tiene los eventos postictales característicos de una crisis epiléptica.
La reseña del Dr Boeve esta aquí:
REM Sleep Behavior Disorder: Updated Review of the Core Features, the RBD-Neurodegenerative Disease Association, Evolving Concepts, Controversies, and Future Directions
Bradley F. Boeve, M.D.
Department of Neurology and Center for Sleep Medicine, Mayo Clinic, Rochester, Minnesota
E-mail: bboeve@mayo.edu.
SLD: Subnúcleo latero dorsal (tegmento pontino),
PC:la región REM-on pre-coeruleus
MCRF: Núcleo Magno-celular bulbar de la formación reticular
Según la propuesta del esquema es que el núcleo SLD pierde su efecto modulador sobre el MCRF y por lo tanto la influencia inhibidora de este último núcleo sobre las neuronas motoras de la médula espinal, de ahí que la conducta motriz durante el sueño REM, no sea correctamente inhibida.
En esta otra gráfica en la parte de arriba puede observarse el polisomnograma normal durante el sueño REM, mientras que abajo donde están las flechas, se observa la falta de inhibición de la actividad motriz submentoneana y de las extremidades en un caso de trastorno conductual del sueño REM
Un saludo muy cordial/ Gustavo
viernes, 21 de enero de 2011
Actualidades en Parkinson
La biografía de James Parkinson, es muy interesante pués se ocupo de muchos aspectos
de la actividad humana dentro de los que destacan su labor como médico, político y
paleontólogo. La descripción de la páralisis agitante fué hecha en 1817:
Aquí pueden tener un acceso a la referencia histórica y al momento actual de la enfermedad de
Parkinson: ARCHIVOS DE MEDICINA INTERNA (MEXICO)
Les doy por otra parte referencias con revisiones de actualidad sobre diagnóstico y tratamiento.
El último artículo hace referencia al potencial uso de los antioxidantes como preventivos y tratamiento
que evite el daño mitocondrial inducido por el estrés oxidativo:
Approach to diagnosis of Parkinson disease Christopher Frank, md, ccfp, fcfp Giovanna Pari, md, frcpc John P. Rossiter, mb bch, phd, frcpc
Vol 52: july • juillet 2006 Canadian Family Physician • Le Médecin de famille canadien
y el otro:
Review Article Mitochondrial Dysfunction in Parkinson’s Disease: Pathogenesis and Neuroprotection
Ross B.Mounsey and Peter Teismann
School of Medical Sciences, College of Life Sciences and Medicine, University of Aberdeen, Institute of Medical Sciences,
Foresterhill, Aberdeen AB25 2ZD, UK
Saludos cordiales/Gustavo
de la actividad humana dentro de los que destacan su labor como médico, político y
paleontólogo. La descripción de la páralisis agitante fué hecha en 1817:
An Essay on the Shaking Palsy by James Parkinson
(1817)
"Involuntary tremulous motion, with lessened
muscular power, in parts not in action and even
when supported; with a propensity to bend the trunk
(1817)
"Involuntary tremulous motion, with lessened
muscular power, in parts not in action and even
when supported; with a propensity to bend the trunk
forewards, and to pass from a walking to a running
pace: the senses and intellect being uninjured."
“Movimientos temblorosos involuntarios, con disminución
de la potencia muscular
en la movilidad pasiva y activa, con propensión a
encorvar el tronco hacia adelante y a pesar de caminar a
correr los sentidos y el intelecto no sufren mayor daño.”
pace: the senses and intellect being uninjured."
“Movimientos temblorosos involuntarios, con disminución
de la potencia muscular
en la movilidad pasiva y activa, con propensión a
encorvar el tronco hacia adelante y a pesar de caminar a
correr los sentidos y el intelecto no sufren mayor daño.”
JAMES PARKINSON
Aquí pueden tener un acceso a la referencia histórica y al momento actual de la enfermedad de
Parkinson: ARCHIVOS DE MEDICINA INTERNA (MEXICO)
Les doy por otra parte referencias con revisiones de actualidad sobre diagnóstico y tratamiento.
El último artículo hace referencia al potencial uso de los antioxidantes como preventivos y tratamiento
que evite el daño mitocondrial inducido por el estrés oxidativo:
Approach to diagnosis of Parkinson disease Christopher Frank, md, ccfp, fcfp Giovanna Pari, md, frcpc John P. Rossiter, mb bch, phd, frcpc
Vol 52: july • juillet 2006 Canadian Family Physician • Le Médecin de famille canadien
y el otro:
Review Article Mitochondrial Dysfunction in Parkinson’s Disease: Pathogenesis and Neuroprotection
Ross B.Mounsey and Peter Teismann
School of Medical Sciences, College of Life Sciences and Medicine, University of Aberdeen, Institute of Medical Sciences,
Foresterhill, Aberdeen AB25 2ZD, UK
Saludos cordiales/Gustavo
jueves, 20 de enero de 2011
"NEUROSUBASTAS"
Interesantes subastas de libros de Neurología del siglo XX y XIX,
para los que se interesen en adquirir colecciones antiguas:
1836 Nervous System, Marshall Hall 1st Ed, Neurology
A WILSON Brain-Machine 1899 NEUROLOGY MEDICINE SIGNED
1912-14 2 vols Review of NEUROLOGY & PSYCHIATRY X & XII
como dicen los norteamericanos "happy bid" si se animan.
Saludos cordiales/Gustavo
miércoles, 19 de enero de 2011
Otro Clásico: Brown-Séquard
Cervical Disc Herniation as a Cause of Brown-Séquard Syndrome
Kyeong Bo Choi, M.D.,1 Choon Dae Lee, M.D.,2 Dai-Jin Chung, M.D.,2 Sang-Ho Lee, M.D., Ph.D.3
Department of Neurosurgery,1 Busan Wooridul Spine Hospital, Busan, Korea
Department of Neurosurgery,2 Wooridul Spine Hospital, Seoul, Korea
Department of Neurosurgery,3 Seoul Wooridul Hospital, Seoul, Korea
E-mail : nslcd@yahoo.co.kr
Charles-Édouard Brown-Séquard
saludos cordiales/Gustavo
Kyeong Bo Choi, M.D.,1 Choon Dae Lee, M.D.,2 Dai-Jin Chung, M.D.,2 Sang-Ho Lee, M.D., Ph.D.3
Department of Neurosurgery,1 Busan Wooridul Spine Hospital, Busan, Korea
Department of Neurosurgery,2 Wooridul Spine Hospital, Seoul, Korea
Department of Neurosurgery,3 Seoul Wooridul Hospital, Seoul, Korea
E-mail : nslcd@yahoo.co.kr
Charles-Édouard Brown-Séquard
saludos cordiales/Gustavo
martes, 18 de enero de 2011
Historia: Síndrome de Gradenigo
History Corner Gradenigo’s syndrome and Dorello’s canal La sindrome di Gradenigo ed il canale di Dorello
D. FELISATI, G. SPERATI1
Former Chief of ENT Division, Bassini Hospital, Milan; 1 Former Chief of ENT Division, Celesia Hospital, Genova, Italy
Acta Otorhinolaryngol Ital 2009;29:169-172
ACTA OTORHINOLARYNGOLOGICA ITALICA 2009;29:169-172
E-mail: felis.wolit@gmail.com
Therapeutic approach to Gradenigo's syndrome: a case report
Ilias Kantas1, Anna Papadopoulou1, Dimitrios G Balatsouras*2,
Andreas Aspris3 and Nikolaos Marangos1
Journal of Medical Case Reports 2010, 4:151
E-mail: dbalats@hotmail.com
saludos cordiales/Gustavo
D. FELISATI, G. SPERATI1
Former Chief of ENT Division, Bassini Hospital, Milan; 1 Former Chief of ENT Division, Celesia Hospital, Genova, Italy
Acta Otorhinolaryngol Ital 2009;29:169-172
ACTA OTORHINOLARYNGOLOGICA ITALICA 2009;29:169-172
E-mail: felis.wolit@gmail.com
Therapeutic approach to Gradenigo's syndrome: a case report
Ilias Kantas1, Anna Papadopoulou1, Dimitrios G Balatsouras*2,
Andreas Aspris3 and Nikolaos Marangos1
Journal of Medical Case Reports 2010, 4:151
E-mail: dbalats@hotmail.com
saludos cordiales/Gustavo
domingo, 16 de enero de 2011
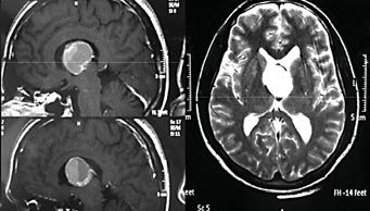
Hematoma intraventricular encapsulado: un caso
Chronic Intraventricular Encapsulated Hematoma in an Adult: A Case Report
E. Kechagiasa C. Ioakimidoub N. Georgakouliasa
A. Seretisa G. Kontogeorgosb
Departments of aNeurosurgery and bPathology, General Hospital of Athens
‘G. Gennimatas’, Athens, Greece
mail del autor: vagelis_kechagias @ yahoo.gr
saludos cordiales/Gustavo
E. Kechagiasa C. Ioakimidoub N. Georgakouliasa
A. Seretisa G. Kontogeorgosb
Departments of aNeurosurgery and bPathology, General Hospital of Athens
‘G. Gennimatas’, Athens, Greece
mail del autor: vagelis_kechagias @ yahoo.gr
saludos cordiales/Gustavo
Suscribirse a:
Comentarios (Atom)







